TRATAMENTOS

 

-         Ortodontia

        

 

 

-         Implantes

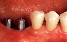
IMPLANTES APLICADOS NA BOCA

 

 

-         Próteses

 

PRÓTESE ESQUELÉTICA SUPERIORPRÓTESE ACRÍLICA SUPERIOR